

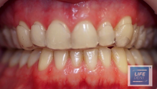
A harapásemelő sínt az éjszakai fogcsikorgatás megakadályozására lehet használni. Az egyedileg készített, átlátszó védőeszköz elválasztja az alsó és felső fogsort egymástól, így azok nem tudják egymást koptatni.
Az éjszakai fogcsikorgatás tipikus tünete, hogy reggel, ébredés után a nyak, váll, állkapocs területe fáradt, valamint a fogak felszíne töredezett, kopott, a harapási magasság csökkent.
A képen látható sín a fogakat megvédi, a reggeli panaszokat csökkenti, megszünteti, illetve a fogak helyett a sín kopik, idővel átlyukad.
Foglaljon időpontot egyedi harapásemelő sín készítésére!
1132 Budapest, Váci út 6. | Nyugati tér mellett
Life Dent® fogorvosi magánrendelő • 1132 Budapest, Váci út 6. II/4. Kapucsengő: 32.
info@lifedent.hu • www.lifedent.hu
Minden jog fenntartva! ©2017-2026 Life Dent®